見えにくい部分入れ歯
今回の患者さんは全体的にインプラントで治療をしましたがどうしても左上奥歯に骨がな
今回の患者さんは全体的にインプラントで治療をしましたがどうしても左上奥歯に骨がな
今回の義歯はピンク色のノンクラスプデンチャーです。 奥歯ですので銀色のバネにして
今回は透明クラスプの義歯を先日装着された患者さんです。 前歯はセラミックで治療さ
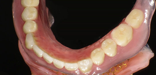
今回は下の歯を歯周病で全体的に失ってしまい、さらに顎の骨がかなり吸収してしまった
BPS義歯は「イボクラールビバデント社」の生体機能補綴システム(Biofunct
新しい入れ歯を装着し使い始めてみると入れ歯があたって痛みがでてしまい使うことをた
永久歯は本来上下に14本ずつ、合計28本の永久歯があるのですが、実際に永久歯が1
歯を失った場合の治療法として代表的なものに「部分入れ歯」と「ブリッジ」と「インプ
歯が抜けたままのしておくとどうなるのでしょうか? 「歯が1、2本くらい抜けても残
入れ歯という選択は大分のイトセ歯科へ。 まず歯を失ってしまった場合は、インプラン